MRI認定 ランダム出題(総集編)

過去の投稿で各年度のMRI認定の過去問をランダムに出題するという記事を作っていましたが、今回は全過去問を対象としました。

全過去問と言っても、日本磁気共鳴専門技術者認定機構のホームページにアップされている第17回〜第5回までです。

 

しかし、、、申し訳ありませんが、現在第17回〜第12回までしかできておりません。

今の作成ペースでは完成するのは試験間近もしくは試験終了後になるのではと思い、一番大事な時期に投稿出来なくなりそうだったために未完成ではありますが投稿いたします。

今後第11回〜第5回までは徐々に追加していきますので、追加し次第ツイッターかこの記事にてお知らせしていきます。

ランダム問題の作成はただの作業なのですが、なかなかに辛く進みません。何も考える必要はないため私はほぼ気絶状態で問題作成にあたっているのですがそれでも作業後は精神をかなり削がれています。また作業中ついついスマホを触っちゃいます。それがなければまだペースは早くなるのですが。

今年の試験が始まるまでは問題追加に努めます。

 

さて、試験まであと少しですね!

今年は10月30日なのであと3週間。気も抜けずキツい時期ではないかと思います。

今までの積み重ねた時間も大事ですが、この最後の時期の過ごし方はとても大事になります。体を壊すほど無理はしないでと思いますが、頑張れるならぜひ頑張ってみてください。

10月27日  第11回追加しました。

2023/4/22 第18回 前半追加しました。

 

MRI認定 総集 ランダム

16-15 グラディエントエコー法について正しいのはどれか。3 つ選べ。
MRI認定 総集 ランダム
You got {{userScore}} out of {{maxScore}} correct
{{title}}
{{image}}
{{content}}

MRI認定 総集 ランダム

18-29 TOF-MRA について正しいのはどれか。2 つ選べ。
MRI認定 総集 ランダム
You got {{userScore}} out of {{maxScore}} correct
{{title}}
{{image}}
{{content}}

MRI認定 総集 ランダム

13-5 NEMA における SNR 測定に関する正しい記述はどれか。(正解2つ)
MRI認定 総集 ランダム
You got {{userScore}} out of {{maxScore}} correct
{{title}}
{{image}}
{{content}}

MRI認定 総集 ランダム

15-16 高速スピンエコー法にてTR 5000ms、ETL 15、Echo space 15ms、Matrix size 256×256のlinear収集で実効TE を 135msに設定したとき、撮像可能な最大スライス枚数はどれか。
MRI認定 総集 ランダム
You got {{userScore}} out of {{maxScore}} correct
{{title}}
{{image}}
{{content}}

MRI認定 総集 ランダム

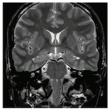
16-4 動脈瘤のコイル塞栓術後で瘤の頸部に血流の残余があることが前回の当院で行われた 1.5T MRA でわかり、経過 観察のために MRI 検査が行なわれるところである。開存内腔が大きくなったら再手術を検討するという。どのような検査を行なうべきか担当の若手技師に聞かれました。回答として望まれるのはどれか。
MRI認定 総集 ランダム
You got {{userScore}} out of {{maxScore}} correct
{{title}}
{{image}}
{{content}}

MRI認定 総集 ランダム

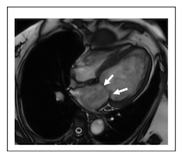
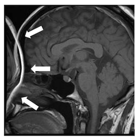
12-37 図中の矢印で示す弁を選択して下さい。(正解 2 つ)
MRI認定 総集 ランダム
You got {{userScore}} out of {{maxScore}} correct
{{title}}
{{image}}
{{content}}

MRI認定 総集 ランダム

14-16 パラレルイメージングファクタを 1 から 2 に増やし、受信バンド幅を 2 倍、スライス厚を 2 倍にした場合の SNRはどれか。※ジオメトリファクタは無視する
MRI認定 総集 ランダム
You got {{userScore}} out of {{maxScore}} correct
{{title}}
{{image}}
{{content}}

MRI認定 総集 ランダム

13-15 前置胎盤の MRI 検査に関する正しい記述はどれか。(正解 2 つ)
MRI認定 総集 ランダム
You got {{userScore}} out of {{maxScore}} correct
{{title}}
{{image}}
{{content}}

MRI認定 総集 ランダム

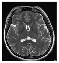
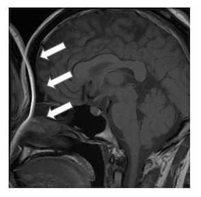
15-36 頭部の T2 強調画像を以下に示す。矢頭(▽)のアーチファクトに関する正しい記述はどれか。3つ選べ。
MRI認定 総集 ランダム
You got {{userScore}} out of {{maxScore}} correct
{{title}}
{{image}}
{{content}}

MRI認定 総集 ランダム

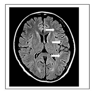
14-48 MR画像を以下に示す.描出されているものはどれか。3つ選べ。
MRI認定 総集 ランダム
You got {{userScore}} out of {{maxScore}} correct
{{title}}
{{image}}
{{content}}
よかったらシェアしてね!
  • URLをコピーしました!

コメント

コメントする

コメントは日本語で入力してください。(スパム対策)

CAPTCHA

目次