2025年10月出題、問題数50問
遅れましたが過去問解答作成しました。
作成後に見直し確認をしていないので誤っているところがあるかもしれませんが、まずはとりあえずアップします。
解説も少ないと思いますのでちょとずつ修正や加筆をしていきますね。
第1部
問題 1 肝臓MRI検査における脂肪化評価について正しいのはどれか。
1. MR elastographyは定量評価が可能である。
2. 脂肪含有率をproton density fat fractionと呼ぶ。
3. SE-T1強調像にて脂肪肝は健常な肝臓よりも低信号になる。
4. マルチエコーDixon法による脂肪含有率測定はメチレン基のみの脂肪を測定している。
5. 微量の脂肪沈着を確認するためのT1強調dual echo法は、1st TEをin-phase、2nd TEをopposed-phaseで撮像する必要がある。
問題 2 腎機能が正常な患者においてもガドリニウム造影剤が脳内に残存する部位はどれか。2つ選べ。
1. 橋
2. 視交叉
3. 淡蒼球
4. 脈絡叢
5. 小脳歯状核
問題 3 細胞外液性ガドリニウム造影剤でキレート構造が線状型の製剤はどれか。2つ選べ。
1. Gd-DTPA
2. Gd-DOTA
3. Gd-HP-DO3A
4. Gd-BT-DO3A
5. Gd-DTPA-BMA
問題 4 神経とその通過する部位の組み合わせで正しいのはどれか。2つ選べ。
1. 橈骨神経-肘部管
2. 尺骨神経-手根管
3. 後脛骨神経-足根管
4. 滑車神経-上眼窩裂
5. 右反回神経-大動脈弓下面
問題 5 前十字靭帯の大腿骨側付着部はどれか。
1. 顆間窩底
2. 外側顆前内側部
3. 外側顆後内側部
4. 内側顆前内側部
5. 内側顆後内側部
問題 6 緩和現象について正しいのはどれか。
1. 緩和時間は磁場均一性に依存する。
2. 緩和時間は物質の温度に依存する。
3. 横緩和時間は縦緩和時間よりも長い。
4. 縦磁化は励起RFパルス印加中に増加する。
5. 横磁化は時間経過とともに直線的に減少する。
問題 7 物理量と単位の組合わせで誤っているのはどれか。
1. 透磁率ーH/m
2. 導電率ーS/m
3. 誘電率ーF/m
4. 電界の強さーV・m
5. 磁気抵抗ーA/Wb
問題 8 MRSについて正しいのはどれか。
1. PRESS法は位相エンコードを行う。
2. PRESS法はreforcusパルスを2回使用する。
3. スペクトル幅は磁場の不均一により狭くなる。
4. 化学シフトは核間スピンの相互作用によって起こる。
5. STEAM法はmixing time の間にT2緩和の影響を受ける。
問題 9 TR2000msのIR法で脳脊髄液(T1値4000ms)の信号を最も抑制できるTI値[ms]はどれか。
1. 250
2. 690
3. 1100
4. 1550
5. 2800
問題 10 受信バンド幅を半分にしたとき、SNRと脂肪ー水の画素シフト量の組み合わせとして正しいのはどれか。
1. √2倍ー√2倍
2. √2倍ー1/2倍
3. √2倍ー2倍
4. 1/√2倍ー1/2倍
5. 1/√2倍ー2倍
問題 11 核磁気共鳴現象について正しいのはどれか。
1. 磁気回転比は静磁場強度に比例する。
2. 脂肪と水のラーモア周波数差は静磁場強度に比例する。
3. 脂肪と水の化学シフト差[ppm]は静磁場強度に比例する。
4. 静磁場強度が2倍になるとラーモア周波数は4倍になる。
5. 静磁場強度が同じであれば水素(1H)とフッ素(19F)のラーモア周波数は同じである。
問題 12 撮像条件について正しいのはどれか。
1. SNRはTEに依存しない。
2. Null pointはTRに依存しない。
3. コントラストは空間分解能に依存する。
4. 加算回数を2倍にするとSNRは2倍になる。
5. ETLを2倍にすると撮像時間は√2倍になる。
問題 13 k空間および信号収集について正しいのはどれか。2つ選べ。
1. k空間はエルミート対称の性質がある。
2. 受信バンド幅はサンプリング時間の逆数である。
3. 実空間とk空間は互いにフーリエ変換の関係にある。
4. 実空間とk空間の位置(座標)は互いに1対1の関係にある。
5. 読み取り傾斜磁場の後にdephasing lobe を付加すると対称性の良いエコーが得られる。
問題 14 MR信号および画像再構成について正しいのはどれか。2つ選べ。
1. 実信号は奇関数、虚信号は偶関数である。
2. ゼロ充填補完法はマトリクスサイズが増加する。
3. ラジアルスキャンは放射状に励起を行う撮像法である。
4. 圧縮センシングはアーチファクトをコヒーレント化することが重要である。
5. パラレルイメージングは複数コイルの空間的な感度差を利用して画像再構成する。
問題 15 パルスシーケンスの特徴について正しいのはどれか。2つ選べ。
1. GRE法はスポイル型とコヒーレント型に大別される。
2. FSE法はTE平均化とMT効果がコントラストに影響する。
3. DIR法は横緩和時間の差が大きい組織の信号を抑制できる。
4. スポイルドGRE法は残留横磁化を再収束することができる。
5. EPI法は周波数エンコード方向に化学シフトアーチファクトが現れる。
問題 16 脂肪信号について正しいのはどれか。2つ選べ。
1. CHESS法は低磁場装置に適している。
2. 水信号よりも高磁場側にシフトする。
3. 水信号との化学シフト差は3.5ppmである。
4. FSE法ではJカップリングの亢進により脂肪が高信号に描出される。
5. Dixon法は化学シフト差に基づく位相差を利用した撮像法である。
問題 17 腹部のSSFP像を示す。これらのアーチファクトを改善する方法はどれか。2つ選べ。
1. TRの延長
2. 局所シミング
3. マトリクス数の増加
4. オーバーサンプリング
5. キャリブレーションデータの再取得

問題 18 シングルショットEPI法で得られた拡散強調画像を示す。このアーチファクトについて正しいのはどれか。2つ選べ。
1. ADC値は不正確になる。
2. 周波数エンコード数は関与しない。
3. 位相エンコード方向はRL方向である。
4. 原因は偶数番目と奇数番目のエコー間の位相シフトである。
5. 発生位置はパラレルイメージングの倍速ファクタで変化する。

問題 19 アーチファクトとその抑制方法について正しい組み合わせはどれか。2つ選べ。
1. バンディングーTEの延長
2. ゴーストー加算回数の増加
3. マジックアングルー撮像断面の変更
4. 磁化率ー受信バンド幅の広域化
5. クロストークースライスギャップの減少
問題 20 トランケーションアーチファクトについて正しいのはどれか。2つ選べ。
1. TRを短くすると低減できる。
2. 位相エンコード方向のみに現れる。
3. 空間分解能を上げると低減できる。
4. k-spaceフィルタを用いると低減できる。
5. 低周波成分のk-spaceサンプリング不足によって発生する。
問題 21 CSの再構成アルゴリズムについて正しいのはどれか。
1. スパース変換後の画像のL1ノルムの最大化を行う。
2. Iterative再構成を用いるため計算時間が短くなる。
3. 低周波成分を残した周期的なアンダーサンプリングを行う。
4. 取得したk空間と再構成されるk空間の誤差を大きくする。
5. スパース性とデータ整合性の両立による最適な画像復元を行う。
問題 22 多断面同時励起(SMS)法について正しいのはどれか。2つ選べ。
1. EPI法のみ利用できる。
2. 複数スライスを同時励起する。
3. 受信コイルの空間感度分布を利用する。
4. パラレルイメージングとの併用はできない。
5. ETLの最適化によりスライス間の干渉が抑制できる。
問題 23 NEMAにおける歪み測定について正しいのはどれか。2つ選べ。
1. ピクセルは長方形にする。
2. スライス厚は10mm以下にする。
3. ファントム温度は20±4℃にする。
4. 測定間隔は60°で3本の距離にする。
5. 測定値とファントム実寸の誤差割合を算出し最大誤差を表記する。
問題 24 IECにおけるゴーストアーチファクトの評価について正しいのはどれか。2つ選べ。
1. 2D-SE法で撮像する。
2. SNRが不足する場合は信号加算を行う。
3. FOVはファントムの1.5倍に設定する。
4. ゴースト信号比、ゴースト雑音比および信号雑音比を評価する。
5. バックグラウンド領域のROIはファントムに対して周波数エンコード方向の背景に設定する。
問題 25 2D撮像において以下の3つのパラメータのみを変更して撮像した際のSNRの倍率はどれか。ただし、ジオメトリファクタは考慮しないものとする。マトリックス:256×256→512×512、スライス厚:5mm→10mm、パラレルイメージングファクタ:2→4
1. 0.18
2. 0.25
3. 0.35
4. 0.50
5. 0.71
第2部
問題 26 脳の拡散強調像について正しいのはどれか。2つ選べ。
1. SNRはb値を大きくすると向上する。
2. ADCはb値の組み合わせを変えても変化しない。
3. 拡散テンソルの計算は6軸以上のMPG印加が必要である。
4. T2shine-throughは組織の著しく長いT2値が原因で生じる。
5. b値の増加に伴う信号低下は拡散係数が大きい組織ほど緩やかである。
問題 27 MRAについて正しいのはどれか。2つ選べ。
1. PC法は血流の定量に適している。
2. 短いTRはTOF法において位相分散を減少させる。
3. MTCパルスはTOF法において背景信号を増強する。
4. PC法ではガドリニウム造影後に血液の信号が増強する。
5. TONE法は流入部から流出部にかけてフリップ角を小さくする。
問題 28 Society of cardiovascular magnetic resonance (SCMR)の推奨事項に沿って心臓T1 mapping を導入するときの準備について正しいのはどれか。2つ選べ。
1. 撮像条件は施設ごとに自由に調整する。
2. 正常範囲は1.5Tと3T装置で同一とする。
3. 自施設の正常値は健常ボランティアを撮像して把握する。
4. 精度と再現性は定期的にファントムを撮像して確認する。
5. ECV算出時のヘマトクリット値は性別と年齢から推定した標準値を使用する。
問題 29 ASL法について正しいのはどれか。2つ選べ。
1. MRAも撮像できる。
2. 定量値の単位は[ml/100g]である。
3. ラベリングから撮像までの時間は短いほど良い。
4. ガドリニウム造影後に撮像すると精度が向上する。
5. 遅延血流があると主幹動脈が高信号に描出されることがある。
問題 30 MT効果について正しいのはどれか。2つ選べ。
1. 傾斜磁場を使用することで生じる。
2. TOF-MRAによる抹消血管の描出能は低下する。
3. Gd造影剤の造影効果を向上することが可能である。
4. MT ratioの測定には直接法と位相法の2種類がある。
5. CEST法は化学交換を利用したもので、従来のMTコントラストは異なる。
問題 31 左膝のT2強調冠状断像を示す。矢印が示す解剖構造はどれか。
1. 鵞足
2. 腸脛靭帯
3. 外側広筋
4. 外側側副靱帯
5. 内側側副靱帯

問題 32 頭部T2強調冠状断像を示す。矢印が示す解剖構造はどれか。
1. 視神経
2. 動眼神経
3. 滑車神経
4. 三叉神経
5. 外転神経

問題 33 子宮のT2強調矢状断像を示す。矢印が示す解剖構造はどれか。(不適切問題)
1. 子宮頸管
2. 頸部間質
3. 外層筋層
4. 子宮内膜
5. 頸管粘膜

問題 34 「生命予後にかかわる緊急性の高い疾患の画像(STAT画像)所見報告ガイドライン〔日本医学放射線学会など(2023年6月)〕について、MRIにおいて診療放射線技師が発見した場合に報告が推奨されるSTAT画像所見として記載されているものはどれか。2つ選べ。
1. 頭部検査での異常造影所見
2. 頭部MRA画像での動脈瘤所見
3. 頭部検査での脳外の異常信号域
4. 脊髄検査でのT2強調画像異常高信号域
5. 頭部検査での拡散強調画像での異常高信号域
問題 35 脳虚血超急性期におけるmisery perfusion が観察できる撮像法はどれか。(不適切問題)
1. ASL
2. DWI
3. SWI
4. FLAIR
5. TOF-MRA
問題 36 日本磁気共鳴医学会から出された早期アルツハイマー病における抗アミロイドβ抗体治療のための脳MRIガイドライン「Practical Brain MRI guidelines for Anti-Aβ Antibody Treatment in Early Symptomatic Alzheimer’s Disease〔JSMRM(2025.4)〕」で必須のシークエンスとされているのはどれか。3つ選べ。
1. 3D-T1WI
2. DWI
3. T2WI
4. FLAIR
5. T2*WIまたはSWI
問題 37 頸椎のMRI矢状断像(a:T2強調像、b:T1強調像、c:0(ゼロ)TE白黒反転像)を示す。矢印が示す病変として最も疑われるのはどれか。
1. 多発性硬化症
2. 多発性骨転移
3. 椎間板ヘルニア
4. 黄色靱帯骨化症
5. 後縦靱帯骨化症

問題 38 心臓MRIにおけるECV mapを作成するための画像はどれか。
1. 造影前後のT1map
2. LGEの強度画像とPSIR像
3. 造影後のT1mapとT2map
4. 造影後のT1mapとLGEのPSIR
5. 造影後のT1mapとLGEの強度画像
問題 39 肩関節の腱板を構成していない筋はどれか。
1. 棘上筋
2. 棘下筋
3. 小円筋
4. 大円筋
5. 肩甲下筋
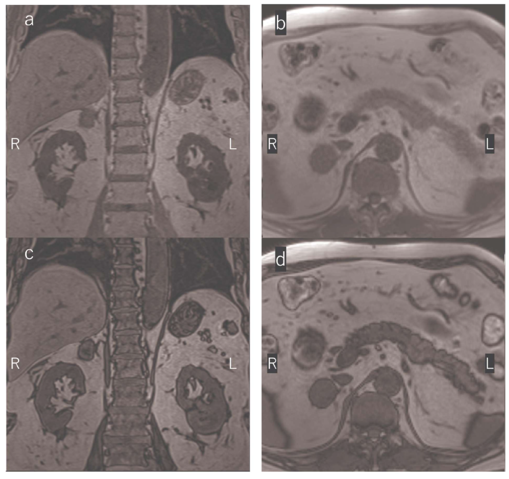
問題 40 T1強調像の冠状断像と横断像のin phase(a,b)とopposed phase(c,d)を示す。疑われる疾患はどれか。
1. 副腎嚢胞
2. 褐色細胞腫
3. 膵頭部がん
4. 副腎皮質がん
5. クッシング症候群

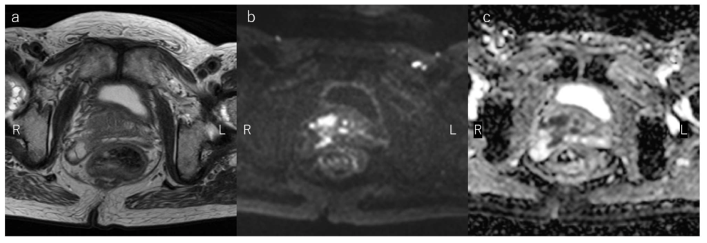
問題 41 前立腺癌疑いで撮像された骨盤部のMRI横断像(a:T2強調像、b:拡散強調像、c:ADCmap)を示す。最も正しい画像所見はどれか。
1. 骨転移
2. 精嚢浸潤
3. 膀胱浸潤
4. 直腸浸潤
5. リンパ節転移

問題 42 MR環境について正しいのはどれか。2つ選べ。
1. ファラデーシールドされた空間のみである。
2. 入口は責任部門によって管理するべきである。
3. 立入制限区域(B0ハザード区域)が含まれている。
4. 安全性向上のため電磁場は完全に遮断されている。
5. 医療従事者は訓練を受けなくても立入ることができる。
問題 43 SARについて正しいのはどれか。2つ選べ。
1. B1+rmsと密接な関係にある。
2. 傾斜磁場のスイッチングが影響する。
3. 患者の体格や撮像部位に応じて異なる。
4. 3T装置のSARは同一条件下の1.5T装置の2倍程度である。
5. SARが制限に達した際の対策としてTRの短縮があげられる。
問題 44 「通常操作モード」について正しいのはどれか。2つ選べ。
1. 定義や条件を取扱説明書に明記する必要がある。
2. 傾斜磁場強度やRF出力に上限は設けられていない。
3. 患者およびMR作業従事者の医学的管理は常に必要である。
4. SARは第二次水準管理操作モードより高く設定されている。
5. 電磁界ばく露による生物学的影響は無視できるリスクである。
問題 45 IR法を用いて均一物質のT1値を測定した際の[M0-Mz]の変化を示す。正しいのはどれか。2つ選べ。
1. SNRが低い。
2. T2*効果が影響している。
3. M0とみなしたTI値が短い。
4. 近似値線の傾きの逆数がT1値である。
5. TRが均一物質のT1値の5倍より短い。

問題 46 マルチチャンネルの表面コイルを用いたSNR測定について正しいのはどれか。2つ選べ。
1. SNRマップは連続撮像法を用いて取得できる。
2. ノイズ分布はチャンネル数によって変化する。
3. バックグラウンドノイズはベータ分布を用いて評価できる。
4. コイル近傍のノイズは感度補正フィルタを用いると増加する。
5. パラレルイメージングを使用する際はジオメトリファクタを乗じる。
問題 47 腎障害患者におけるガドリニウム造影剤使用に関するガイドライン第3版について正しいのはどれか。
1. ガドリニウム造影剤の使用前は必ず腎機能(eGFR)を評価しなくてはならない。
2. 同じガドリニウム造影剤を繰り返し使用する場合は投与間隔を考慮しなくてよい。
3. CTや血管造影などのX線検査のための造影剤として、ガドリニウム造影剤を使用できる。
4. 非透析例でeGFRが60[ml/min/1.73m2]未満の病態では可能な限りガドリニウム造影剤の投与を避ける。
5. 第2版の「原則としてガドリニウム造影剤を使用せず、他の検査法で代替すべき病態」は「可能な限りガドリニウム造影剤の使用を避け、他の検査法で代替することが望ましい病態」に改められた。
問題 48 酸素欠乏とは、我が国の労働安全衛生法・酸素欠乏症等防止規則において、空気中の酸素濃度が何[%]未満である状態と規定しているか。
1. 14
2. 16
3. 18
4. 20
5. 22
問題 49 日本磁気共鳴医学会と日本医学放射線学会から示された「臨床MRI安全運用の指針(令和2年3月19日)」について誤っているのはどれか。
1. MRI検査時には同意書を取得すること。
2. 始業時にはファントム等の撮影を行い、画質の維持・向上に努めること。
3. 安全性情報の関連行政機関への報告を行う体制を整備すること。
4. 安全管理チームの構成員には磁気共鳴専門技術あるいはそれに準ずる者が含まれることが望ましい。
5. 医療従事者および作業従事者の金属持ち込みを防止する教育および管理体制(マニュアル作りなど)を整備すること。
問題 50 令和元年8月1日付け薬生機審発0801第4号厚生労働省医薬・生活衛生局医療機器審査管理課長、医薬安全対策課長連盟通知「植え込み型医療機器等のMR安全性にかかる対応について」の安全性評価として相応しい規格はどれか。
1. IEC
2. JIS
3. JSA
4. ASTM
5. NEMA

コメント
コメント一覧 (2件)
解説お疲れさまでした。
この度、第21回の認定試験に合格することができました。
MR専門技術者試験合格のために必要な知識は、全てラドライフ様のブログ内にあり、大変助けていただきました。本当にありがとうございました。無事に試験には合格しましたが、今後も自分の復習のために引き続き拝見させていただきたいと思っております。
お忙しい中での記事作成は本当に大変かと思いますが、これからもどうかご無理なさらず頑張ってください。
陰ながら応援させていただきます。
お疲れ様です。
コメントをいただきましてありがとうございます。
合格は獏良了様の努力であり、少しでもそのお役に立てたのなら嬉しく思います。おめでとうございます!
また、お気遣いいただきありがとうございます。
このようなコメントが大変励みになりますので、まだまだ続けていこうと思います。
更新頻度は少ないですが、今後もよろしくお願いいたします。